Nierentumor
Operative Behandlungen von Nierenerkrankungen gehören zu den
Schwerpunkten der Klinik für Urologie und Kinderurologie im Klinikum Itzehoe.
Die Funktionen der Nieren sind vielfältig. Sie „reinigen“ das Blut durch
Ausscheidung von Schlacken und Stoffwechselendprodukte über den Urin,
regeln den Salzhaushalt des Blutes und des Körpers, steuern den Blutdruck
mit und regen die Bildung roter Blutkörperchen an. Nierenversagen führt zur
Harnvergiftung und schließlich zum Tod.
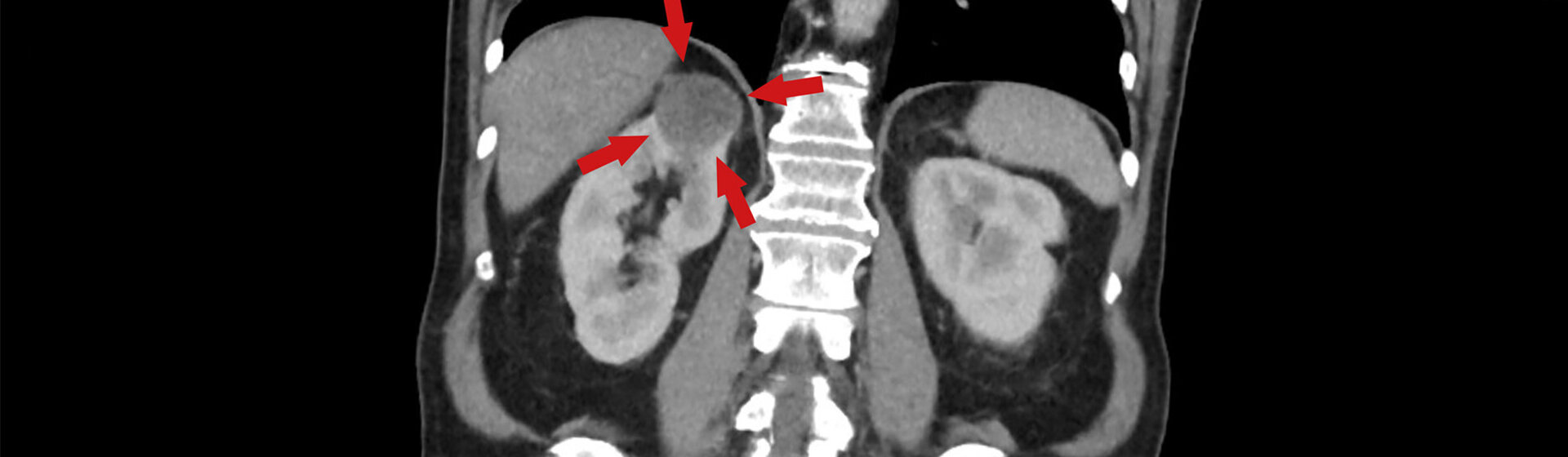
Nierentumore verursachen erst spät Symptome. Meist werden sie heute
durch eine Ultraschalluntersuchung mehr oder weniger zufällig entdeckt.
Die operative Entfernung des Tumors ist auch heute noch die einzige
kurative (heilende) Behandlungsform.
Die klassische Therapieform stellt die radikale Tumornephrektomie dar,
d.h. Entfernung der tumortragenden Niere mit Lymphknotenextirpation der
Umgebung. Dieser Eingriff kann konvertionell durch eine Schnitt-Operation
oder auch per Schlüssellochchirurgie (Laparoskopie) durchgeführt werden.
Organerhaltende Tumorresektion
Die Tumorresektion, ob robotisch oder offen chirurgisch, stellt in den
meisten Fällen den operativen Standard dar.
Es bleibt also der gesunde Teil der Niere als funktionierende
„Restniere“ erhalten. Nur bei extrem ungünstigen Lagen des Tumors
oder bei sehr großen Tumoren muss auch heute noch die
gesamte Niere entfernt werden.
